This depends on how crooked or crowded your teeth are, to begin with. Before you start a course of Invisalign treatment, it is important that you prepare yourself for the process and commit to being disciplined at wearing your aligners every day for 20-22 hours. Every single course of Invisalign treatment we carry out is tailored to each individual patient we are treating, so this is not a one size fits all situation. We take great care to design your smile individually and optimise your end results by looking at all elements of smile design for your case.
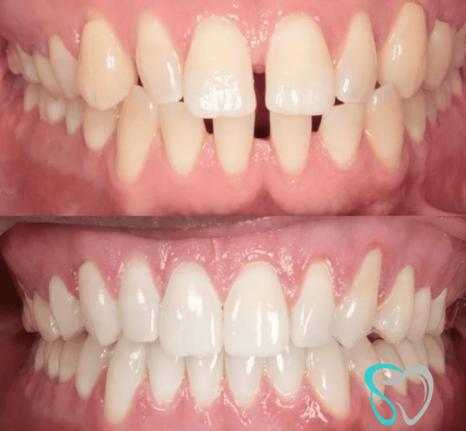
Take a look at the Smile Gallery to see examples of Invisalign results.

